culture and society | February 25, 2026

What causes atretic ovarian follicle?

What causes atretic ovarian follicle?

Follicular atresia is a complex hormonally driven process involving both putative “survival” factors, e.g., insulin-like growth factor-1, epidermal growth factor, basic fibroblast growth factor, E2, and activin; and putative atretogenic factors, e.g., tumor necrosis factor-α, GnRH, and androgens.

What should be the size of follicle to get pregnant?

When your follicles have reached around 18-20mm in diameter they are deemed ready for egg collection. You’ll be given a hormone trigger injection to stimulate your follicles to release the mature eggs that have been prepared in your follicles.

Which type of follicle is the follicle right before ovulation?

At this stage, the follicle is referred to as an antral, or Graafian follicle. This stage can also be seen on ultrasound as a small, fluid-filled cyst on the ovary. The follicular phase of the menstrual cycle occurs when the antral follicle develops into a preovulatory follicle in preparation for ovulation.

What are the different types of ovarian follicles?

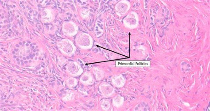
Introduction. Human ovarian follicles are the functional units of the female reproductive system that develop through different stages, including primordial, primary, secondary, antral, and peri-ovulatory follicle stages, and subsequently ovulate in response to the LH surge.

What do atretic follicles do?

It has been suggested that atretic follicles contribute to steroid secretion and regulation of the number of ovulated oocytes (Guraya, 1969; Byskov, 1978; Saidapur, 1978). Consequently, atresia plays an important role in fecundity by influencing the number of ovulated oocytes.

What is atretic follicle in ovary?

Follicular atresia is the breakdown of the ovarian follicles, which consist of an oocyte surrounded by granulosa cells and internal and external theca cells. Typically around 20 follicles mature each month but only a single follicle is ovulated; the follicle from which the oocyte was released becomes the corpus luteum.

Are follicles and cysts the same?

On ultrasound, simple cysts and follicles look exactly the same. The difference is that a follicle has a microscopic oocyte (egg) maturing inside of it, a simple cyst does not. Because they look the same on ultrasound, doctors may need to use other factors to determine the difference.

Can you get pregnant with one follicle?

Can you get pregnant with only one mature follicle? If you’re trying to conceive naturally, yes, you can get pregnant as long as the follicle releases an egg down the fallopian tube to meet with sperm.

What are the three stages of ovarian follicle?

Preantral follicular development can be divided into three stages: activation of primordial follicles, the primary to secondary follicle transition, and the development of secondary follicles to the periantral stage.

Where are follicles located in the ovary?

The ovarian follicles, sometimes called graafian follicles, are rounded enclosures for the developing ova in the cortex near the surface of the ovary. At birth and in childhood they are present as numerous primary or undeveloped ovarian follicles.

Is follicles in ovary normal?

A normal ovary consists of 8-10 follicles from 2mm to 28mm in size [1]. The group of follicles with less than 18mm in size are called antral follicles, and the size in the range of 18-28mm are known as dominant follicles.

Is an ovarian follicle a cyst?

Although an ovarian follicle is not a cyst, in some circumstances it can develop into one. So, a follicle is not a cyst, a cyst is not a follicle but it can derive from one, and can occur singly or in multiple form.

Can an ovarian follicle develop into a cyst?

Among all the follicles with oocytes growing inside, only one or maybe two will grow and develop completely, maturing and being released as an egg during the process called ovulation. Although an ovarian follicle is not a cyst, in some circumstances it can develop into one.

What are cysts and how do they affect fertility?

If you’re a fertile woman of reproductive age, your ovaries develop cyst-like follicles every month. These follicles produce the important hormones, estrogen and progesterone. They also release an egg when you ovulate. If a follicle doesn’t burst or release its egg, it can become a cyst. The cyst can continue to grow and fill with fluid or blood.

What happens to the egg inside the ovarian follicle?

Inside the ovarian follicle is an immature egg, referred to as an oocyte, and some fluid. Once the follicle matures, it ruptures, releasing the egg and the fluid. That happens during ovulation. If the follicle does not rupture or expel the liquid, it swells up and becomes a cyst.

What is the ICD 10 code for follicular ovarian cyst?

ICD coding ICD-10: N83.0 – cyst, follicular (atretic) (hemorrhagic) (ovarian) ICD-11: GA18.0 – follicular cyst of ovary