What is Distomolar

A distomolar is a supernumerary tooth which is located distal to third molars

What causes Paramolar?

A hyperactive dental lamina where the localized and independent hyperactivity of dental lamina is the most accepted cause for the development of the supernumerary tooth. It is suggested that paramolars are formed as a result of local, independent, conditioned hyperactivity of the dental lamina.

How common are Paramolars?

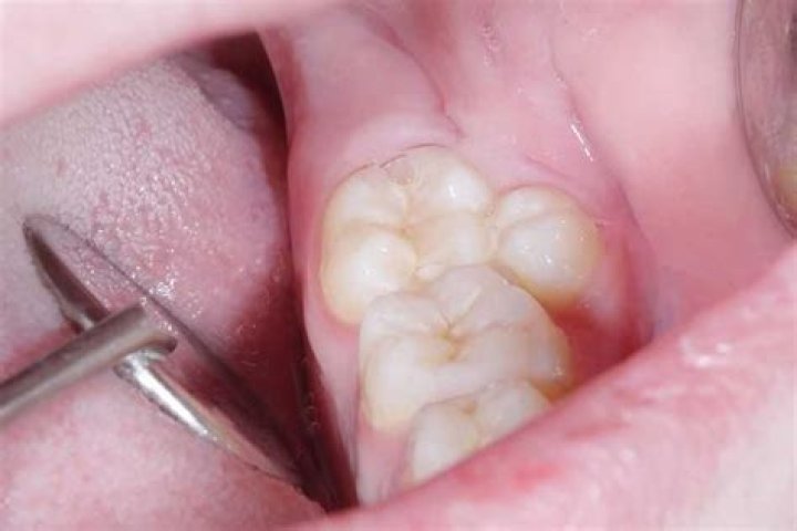
Paramolars are usually rudimentary and situated in the interproximal spaces between the second and third molar or buccally-lingually/ palatally to one of the molars, rarely they can be found between first and second molars [1]. The prevalence of paramolars in the permanent dentition ranges from 0.08% to 0.50% [2].

What is Paramolars?

Paramolar is a supernumerary molar usually small and rudimentary, most commonly situated buccally or palatally to one of the maxillary molars. Paramolar is a developmental anomaly and has been argued to arise from a combination of genetic and environmental factors.

What is extra molar?

Hyperdontia is a condition that causes too many teeth to grow in your mouth. These extra teeth are sometimes called supernumerary teeth. They can grow anywhere in the curved areas where teeth attach to your jaw.

Can humans grow a third set of teeth?

Pathology. It is possible to have extra, or “supernumerary,” teeth. This phenomenon is called hyperdontia and is often erroneously referred to as “a third set of teeth.” These teeth may erupt into the mouth or remain impacted in the bone.

Are wisdom teeth bad?

Impacted wisdom teeth can result in pain, damage to other teeth and other dental problems. In some cases, impacted wisdom teeth may cause no apparent or immediate problems. But because they’re hard to clean, they may be more vulnerable to tooth decay and gum disease than other teeth are.

What is the second tooth in hypodontia?

It rarely occurs in primary teeth (also known as deciduous, milk, first and baby teeth) and the most commonly affected are the adult second premolars and the upper lateral incisors.

What is a hypodontia?

Sometimes people do not develop all their teeth. This is called hypodontia. It can affect baby and adult teeth. About one in 20 people have one or two teeth missing, however, more teeth can be missing.

What is dental Concrescence?

Concrescence is a developmental anomaly of dental hard tissues. It is a condition showing union of adjacent teeth by cementum. The concrescence leads to a loss of gingival architecture leading to the development of funnels, which may cause plaque accumulation thus, resulting in periodontal tissue destruction.

Article first time published on

What causes natal teeth?

The cause of natal teeth is unknown. Natal teeth may be more likely to occur in children with certain health problems that affect growth. This includes Sotos syndrome. The condition can also be linked to Ellis-van Creveld syndrome (chondroectodermal dysplasia), pachyonychia congenita, and Hallermann-Streiff syndrome.

How many premolar teeth are in mouth?

Premolars (Bicuspids) – These teeth are located behind and adjacent to the canines and are designed to crush food. There are eight premolars in the oral cavity. There are two in each quadrant of the mouth.

Can mandibular tori grow?

Palatal tori can interfere with the suction necessary to hold an upper dental plate in place. Rarely, they can grow so large that they interfere with normal breathing or speech.

Are extra teeth lucky?

Samudrika science says that they are a sign of prosperity also. Meanwhile, crowded teeth with gaps indicate hurdles for success. People with such teeth may find that they lose out on several opportunities to come up in life.

Can a person have 33 teeth?

Adults normally have 32 permanent teeth, while children have 20 baby teeth. Though rare, extra teeth can develop in the mouth—a condition known as hyperdontia; the extra teeth themselves are called supernumerary teeth.

Does teeth regrow after 100 years?

Humans can’t grow new teeth, but we’re not alone — most mammals can’t. Many reptiles and fish can grow hundreds or even thousands of new teeth. Geckos grow over 1,000 new teeth in a lifetime. Humans can only grow two sets of teeth, baby and adult teeth, because of how they evolved over 300 million years ago.

Is wisdom tooth removal painful?

So, wisdom tooth removal does it hurt? During the procedure, you should feel no pain and barely any (if at all) discomfort. After the procedure, the extraction site may feel a little tender for several days but with a little rest and recuperation, you should be back to normal within 7 days.

Is it OK to not remove wisdom teeth?

Wisdom teeth — the third molars in the very back of your mouth — may not need to be removed if they are: Healthy. Grown in completely (fully erupted) Positioned correctly and biting properly with their opposing teeth.

Why is it called wisdom teeth?

Historically, these teeth have been called wisdom teeth because they come through at a more mature age. When they come through correctly, healthy wisdom teeth can help you chew. It’s normal to feel a little discomfort when your wisdom teeth appear, but if you have pain, see your dentist immediately.

Can teeth grow at age 40?

Wisdom teeth are also known as third molar teeth. They are located at the back of upper and lower jaws and are the last teeth to emerge in the oral cavity. They usually erupt between ages 17 and 25; however, in some individuals wisdom teeth have erupted even in 40s or 50s.

Can a person regrow teeth?

Can Teeth Regrow Naturally? Humans can only grow two sets of teeth, which are baby and adult teeth. However, they cannot regrow their teeth naturally.

Can teeth be replaced permanently?

Some permanent tooth replacement options include: Dental implants. Complete dentures. Removable particle dentures.

What is a Mesiodens tooth?

Mesiodens is a supernumerary tooth present in the midline between the two central incisors. It usually results in oral problems such as malocclusion, food impaction, poor aesthetics, and cyst formation.

Which teeth are most commonly congenitally missing?

Some people are born without certain teeth, and this condition is called congenitally missing teeth. Genetic factors cause congenitally missing teeth and this condition is often seen in generations of a family. The most common missing teeth are wisdom teeth, upper lateral incisors, and second premolars/bicuspids.

What infections cause hypodontia?

Hypodontia is thought to involve environmental factors, including infection, e.g. rubella (Gullikson, 1975), drugs, such as thalidomide (Speirs, 1965), and irradiation (Berland, 2002), as well as the developmental relationships between the nerves, maxilla, mandible, oral mucosa, supporting tissues, and hard tissues ( …

Is hypodontia a disease?

Hypodontia, or tooth agenesis, is the most prevalent craniofacial malformation in humans. It may occur as part of a recognised genetic syndrome or as a nonsyndromic isolated trait. Excluding third molars, the reported prevalence of hypodontia ranges from 1.6 to 6.9%, depending on the population studied.

What stage of teeth does hypodontia occur?

Primary (baby) teeth start to form between the sixth and eighth week of prenatal development, and permanent teeth begin to form in the twentieth week. If teeth do not start to develop at or near these times, they will not develop at all, resulting in hypodontia or anodontia.

What is cusp of Carabelli?

The Carabelli cusp is a tubercle or cuspule, or a groove often seen on the palatal surface of the mesiopalatal cusp of maxillary permanent molars and maxillary second deciduous molars.

What is enamel pearl in dentistry?

An enamel pearl is a hard lump of enamel that develops on the root of a tooth where it doesn’t usually belong. Enamel pearls can affect the affected tooth’s health and provide space for bacteria to collect in the gumline.

What is Gemination of teeth?

Gemination and fusion are anomalies in size, shape and structure of teeth. Gemination more frequently affects the primary teeth, but it may occur in permanent dentitions, usually in the incisor region. Geminated teeth are typically disfigured in appearance due to irregularities of the enamel.

Can a baby born pregnant?

A baby born in Hong Kong was pregnant with her own siblings at the time of her birth, according to a new report of the infant’s case. The baby’s condition, known as fetus-in-fetu, is incredibly rare, occurring in only about 1 in every 500,000 births.